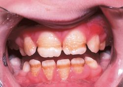
| La hipoplasia del esmalte se define como un defecto del desarrollo
de los tejidos duros del diente que ocurre antes de la erupción del
mismo como resultado de un trastorno en la formación del esmalte.
Éstos defectos o anomalías varían en gravedad y se manifiestan
clínicamente en su forma más leve como pequeñas manchas blancuzcas u
opacas aisladas y diminutas fositas hasta manchas marrones y fosas y
escotaduras marcadas que dan al diente un aspecto corroído.
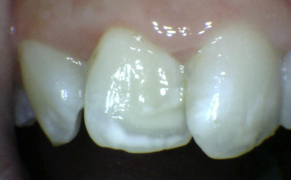
La Amelogénesis imperfecta, se manifiesta como hipoplasia o hipocalcificación, lo que depende del tiempo de
interferencia que haya habido en la formación del esmalte.
- Si el trastorno afecta la primera etapa, habrá
deficiencia en la cantidad de matriz adamantina formada y
resultará una hipoplasia del esmalte, en que el diente
aparece con tamaño y color normales, sin pigmentación
aparente, pero presenta hipersensibilidad en los cambios
térmicos a una rápida abrasión o pérdida del esmalte
- Si el
daño ocurre en la segunda etapa, cuando la matriz está
formada, se originará una hipocalcificación del esmalte; en
ella el diente tiene forma y tamaño normales pero la calidad
del esmalte es mala, se tiñe fácilmente y se fractura
dejando expuesta la dentina.
|
En 1982 la Federación Dental Internacional propuso un criterio de clasificación de hipoplasia
para fines epidemiológicos con siete categorías de registro: |