Salud Dental Para Todos

 
 

Epulis fisurado

Escuela Dental de la Universidad del Sur de California. U.S.A.

Click en las imágenes para ampliar.

El épulis fisurado representa una masa hiperplásica de la mucosa, generalmente en el vestíbulo de la boca, proliferando como una reacción a la irritación mecánica de  largo plazo de una prótesis dental mucosoportada mal adaptada.

Aquí son dos épulis, bilaterales, en los vestíbulos del maxilar. Es una apariencia típica. Son lobulados  y muestran áreas focales aumentadas de vascularidad. En la porción central de cada masa hay una ranura ó una invaginación  que corre en una dirección anterior-posterior. La pestaña de la dentadura postiza encajará en estas ranuras.

Esta vista más aumentada de la lesión del lado izquierdo  está compuesta de por lo menos tres pliegues de tejido bastante denso. Hay invaginaciones profundas entre los pliegues.
Aquí la dentadura postiza está en el lugar y usted notará como el borde o pestaña de la dentadura se introduce en la invaginaciones. Esto indicaría que hay espacio considerable entre la pestaña y  reborde alveolar. La irritación constante por el borde de la dentadura postiza que choca con en el tejido mucoso da lugar a la producción continua de tejido conjuntivo fibroso inflamado.
Se observa los pliegues del épulis del lado opuesto.
Con la dentadura postiza en el lugar, la pestaña encaja muy bien en la ranura con una porción de la lesión localizada debajo de la dentadura postiza y la mitad queda en la superficie externa.
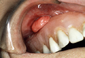
Este épulis fisurado  involucra el vestíbulo de la mandibula anterior. Aunque no esté la dentadura postiza que produce dicha lesión, hace pensar en una asociación íntima entre la prótesis desaptada y la lesión. Los rasgos clínicos también hacen pensar en la posibilidad de malignidad. En todos los casos, se indica una biopsia para el diagnóstico preciso.
Este épulis fisurado se encuentra en una localización no habitual, en la almohadilla retromolar.
Este ejemplo extraño parece estar originando  porque la dentadura postiza irritaba la mucosa vestibular.
El tratamiento para el épulis fisurado normalmente es la biopsia por escisión . En la mayoría de los casos, el encogimiento ocurrirá si las dentaduras postizas no están estropeadas; sin embargo, porque la lesión está compuesta por tejido fibroso muy denso, la resolución completa generalmente no ocurre. Este espécimen indica el tipo de terapia empleado. El patólogo realizará las secciones múltiples a través del espécimen para evaluar todas las porciones.
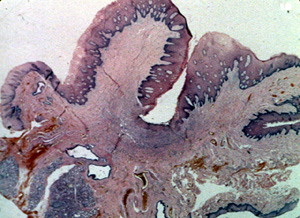
Esta microfotografía de baja resolución  ilustra bien el aspecto lobulado de la lesión. Hay una invaginación profunda en la porción central en que la pestaña de la dentadura postiza fue localizada.
Este microfotografía se observa el área ulcerada en la base de la invaginación y muestra exudado inflamatorio, tejido fibroso reactivo  y tejido de granulación.
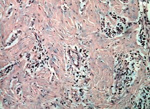
Periférico a la ulceración el tejido del tipo predominante que comprende la mayoría de la lesión, es el tejido conjuntivo fibroso bastante denso con un número moderado de los vasos sanguíneos. Note la inflamación crónica perivascular  tan común en las lesiones reactivas. Los fibroblastos son uniformes a lo largo  hay  considerable colágeno denso. Con esta microfotografía usted puede determinar que la única forma de eliminar la lesión es con la biopsia por escisión.
Volver