Escuela Dental de la Universidad del Sur de
California. U.S.A.
Cuando estas
lesiones periféricas están casi exclusivamente compuestas de
fibroblastos y célulasendoteliales
ymuchas células gigantes,
la lesión es denominada Granulom de Células Gigantes. Clínicamente,
pueden parecerse al granuloma periférico opueden ser bastante vascular y parecerse el granuloma piógeno.
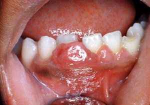
Este ejemplo
es bastante vascular. Ha cambiado de sitio al incisivo central hacia
lingual. Los granulomas decelulas
gigantes tienen un mayor potencial de crecimientoque el granulomas periférico y puede cambiar de lugar los
dientes.
Aquí hay un
ejemplo típico de un granuloma de celulas gigantes; sin embargo, sólo por
la biopsiaescisionales posible el diagnóstico.
El término periférico
es porque se
originan en los tejidos blandos. Hay también un granuloma celulas
gigantes "central" que se origina dentro del hueso y es más
agresivo y destructivo en su conducta de crecimiento.
Esta imagen
ilustra bien cómo estas lesiones pueden crecer sin tratamiento. El
hueso subyacente puede ser reabsorbido.
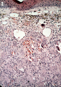
Hay un
estromafibro-endotelial
celular activo que contiene innumerables células gigantes bajo el
epitelio. Note el pigmento castaño de la sangre inmediatamente debajo
del epitelio. Las células gigantes que proliferan se debe a estahemorragia.
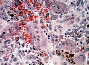
A mayor
resolución se observan la configuración celular multinucleada de las células
gigantes. Y además contiene
fibroblastos y células endoteliales.