Escuela Dental de la Universidad del Sur de
California. U.S.A.
El granuloma
periférico es una proliferación reactiva de tejido conjuntivo fibroso
que ocurre casi exclusivamente en la encía. Éstos son normalmente
asociados con irritación local como cálculo o mal alineación de
dientes.
Éste es un
ejemplo bastante típico de una lesiónnodular, firme cubierta porepitelio normal. El color indica que hay proliferación vascular.
Este ejemplo
típico se ulcera focalmente pero es asintomático. Este varón de 48 años
de edad declaró que la lesión se había estado agrandando durante 5 años.
Los dientes aparecen separados. Es frecuenteque estas lesiones pueden ser bastante agresivas y pueden cambiar
de sitio a los dientes.
Esta gran
lesión se extendió bien en lingual y cambió de sitio algunos de los
dientes. Los granulomas periféricos lograrán un tamaño considerable
sin tratamiento. La terapia es la biopsia por escisión . Puede ser
necesario extender la cirugíaal
hueso subyacente para eliminar la lesión. También se indica la
eliminación de estímulos irritantes.
Este fibromaperiférico se proyecta desde la encía y se muestra enrojecido.
Parece un granuloma.
Radiografía
de la lesión en la imagen anterior revela la formación de hueso, que no es
un hallazgo raro en este tipo de lesión.
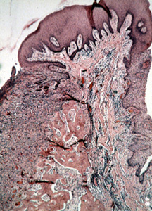
Esta
microfotografía de baja resolución muestravarios componentes del tejido. Hay áreas de tejido conjuntivo
celular y zonas de inflamación crónica. Además, usted puede ver las
numerosas trabéculas óseas que amenudo están presentes.
A una mayor
resolución de imagense
observanáreas hipercromáticas
como de la condensación de fibroblastos. Hay condensación ligera de
colágeno que indica la posible formación de hueso. Es una lesión
hiperplásica.
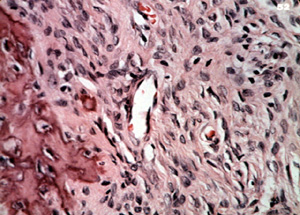
Ilustrado aquí
es el área central de tejido conjuntivo celular con el epitelio encima
y trabéculas de hueso al fondo. La presencia de hueso es común.
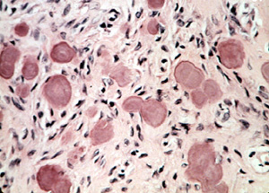
A menudo sepresentan cuerpos calcificados pequeños. (cementículos)
Casi
cualquier tipo de calcificación puede encontrarse en estas lesiones.