| Este es un
ejemplo típico de hiperplasia papilar
inflamatoria, ofrece una configuración en forma de burbujas en el
paladar duro. Estos tejidos están enrojecidos, hay edema y presencia de
tejido conjuntivo fibroso denso localizado. Generalmente, esta condición
es asociada con una dentadura postiza pobremente adaptada, y el
tejido llena el espacio por irritación como resultado de la
succión de la prótesis.
|
 |
| El paladar no
está todo cubierto en su totalidad como es ilustrado en este ejemplo.
|
 |
| A veces la
hiperplasia papilar inflamatoria ofrece una
proliferación densa fibrosa con menos vascularidad. Cuando la
lesión es fibrosa, como en esta imagen, la cirugía es generalmente la
terapia empleada.
|
 |
| En los
pacientes que tienen este tipo de lesión está íntimamente asociada a
la adaptación de la prótesis sobre la mucos palatina. Hay una
dentadura postiza parcial con una barra palatina, pero los tejidos
involucrados no son cubiertos por la porción de la dentadura postiza.
Algunos creen que esto
puede ser un tipo de anormalidad de desarrollo pero la apariencia clínica
es bastante similar a los casos anteriores. De nuevo, usted notará que
el color de los tejidos fibrosos tienen un bajo grado de vascularidad
y hay un aumento de la inflamación.
|
 |
| Ésta es una
amplificación de la imagen antrior que ilustra una lesión en forma de
racimo nodular.
|
 |
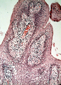
| Este
microfotografía muestra la
configuración de las papilas. Hay numerosos dedos, como proyecciones
cubiertas por epitelio escamoso respaldados por centros de conjuntivo
que contiene inflamación crónica.
|
 |
| Note las
numerosas células inflamatorias en el tejido conjuntivo y los vasos
sanguíneos notablemente dilatados.
|
 |
| A mayor poder
de resolución se observa la
reacción inflamatoria compuesta
por linfocitos y plasmocitos. Pero no se observa ninguna displasia en el
epitelio.
|
 |