Salud Dental Para Todos

 
 

Microscopía del carcinoma in situ 

Escuela Dental de la Universidad del Sur de California. U.S.A.

Click en las imágenes para ampliar.

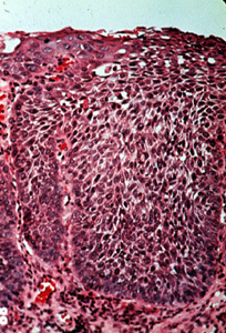
En algunos casos las anormalidades celulares son tan severas y la maduración del epitelio muy pobre, que el espesor entero del epitelio no hay diferencia entre la capa basal y la superficie. Cuando ocurre esto la lesión se designa carcinoma in situ. Todavía no hay infiltración en el tejido conjuntivo.
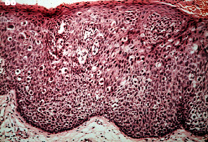
Con una resolución más alta de la imagen 66, puede ser algo difícil determinar qué lado es la basal y cual es la superficie. Las anormalidades celulares son obvias y la maduración es casi inexistente.
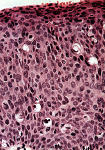
El fracaso de la queratinización del  epitelio, como en este ejemplo típico de carcinoma in situ, significó que la enfermedad sería muy difícil de descubrir clínicamente. Aunque algunos casos son indudablemente invisibles, otros son rojos y ligeramente granulares o aterciopelados  debido a la inflamación y aumento de la vascularidad en el tejido conjuntivo (como es visto aquí), o el carcinoma in situ alterna con focos de displasia de la mucosa que producen queratina. Esto imparte una apariencia roja y blanca manchada a la mucosa que es algo más fácil de descubrir cuando se realiza un examen oral completo.
Volver