Microscopía de la queilitis solar ó actínica

Escuela Dental de la Universidad del Sur de California. U.S.A.

Click en las imágenes para ampliar.

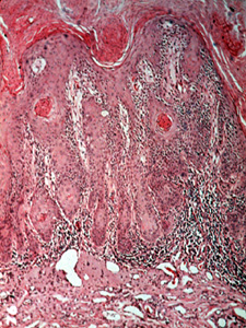
Las cortes microscópicas de la queilitis actínica muestra  mucha queratina en la superficie 

Con alargamiento de la basal formando lomas y debajo se observs el tejido conjuntivo inflamado

 

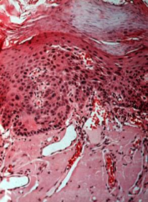
Una vista a más aumentos muestra  las anormalidades celulares similares a aquéllas descriptas en el displasia de la mucosa, dilatación vascular y degeneración del colágeno extensa ("elastosis senil"). Éstas son las alteraciones debido a la radiación solar.
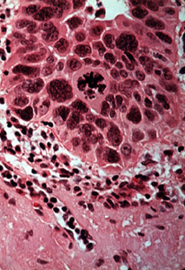
Se muestran inflamación crónica, "elastosis senil" y displasia del epitelio con oscuridad anormal agrandada de los núcleos más mitosis, con este poder de resolución, en la queilítis actínica.
Volver