Salud Dental Para Todos

 

Periodontología Pricipal Gingivitis Periodontitis Patogenesis Perdida de inserción  Colonización subgingival Bacterias subgingivales Eliminación de  bacterias Patología periodontal  Tratamiento no quirurgico  Cicatrización  Cirugía  Gingivectomia  Procedimientos por colgajos

Periodontología Básica

Procedimiento quirúrgico por colgajo

Mujer de 24 años de edad  que ha padecido  periodontitis juvenil desde los 16 años. Las lesiones periodontales se han tratado repetidamente durante los años precedentes y ella ha desarrollado una nueva  patología periodontal en el incisivo lateral derecho superior. Las profundidades de bolsa al sondaje de ese diente es de 4-10 mm  Un colgajo se ha levantado hasta la línea mucogingival y se ha expuesto el hueso maxilar. La pérdida de ligamento periodontal es severa en  mesial y distal  del lateral. En distal se observa un defecto óseo.
Otro colgajo se ha levantado en palatino. Se observa la pérdida del ligamento periodontal en  mesial y distal del lateral. Nótese el defecto óseo en forma de cráter en mesial del lateral.
Se realiza las suturas de los colgajos.  Note el cierre completo de los colgajos en interproximal.
El procedimiento de Widman modificado fue realizado y la imagen muestra la apariencia clínica  7 días después del postoperatorio. El paciente se ha enjuagado dos veces por día con  chlorhexidine durante 7 días.
La imagen muestra 6 meses después del tratamiento. El paciente presenta una excelente higiene oral y al sondaje del surco gingival no presenta sangrado y evidencia una profundidad de 3 mm como máximo.

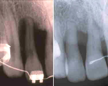
Estas imágenes ilustran la condición del soporte del hueso alveolar periodontal antes del tratamiento y 8 años después del tratamiento quirúrgico. El paciente ha mantenido una higiene oral excelente con citaciones cada 4 - 6 meses.
Estas imagenes fueron producidas  por Rolf Attstrom y la Asociación Dental Dinamarquesa en colaboración con  Video  Goof, Dinamarca. Cámara y videoediting Tommy Ols, Videocompiling y Grabación  Anders Nattestad
Rolf Attstrom ,  Professor and Chairman, Department of Periodontology, Centre for Oral Health Sciences, 21421 Malmo, Sweden.
Anders Nattestad  Palle Holmstrup
Publicado en Agosto de 1998 y actualizado en Noviembre de 1999
Traducción:  Marcelo A.  Iruretagoyena (Odontólogo) Licenciada Adriana Verón.