|
 |
 |
 |
| Esta serie de
imágenes muestra el diagnóstico y tratamiento de la periodontitis
moderada en una mujer de 35 años de edad. Se observa
inflamación por el cambio de color, aspecto de la superficie y por la consistencia del margen gingival. Si el margen
gingival está flojo cuando aplicamos aire de la jeringa triple es una indicación de inflamación
del tejido. |
Se sondea las
bolsas periodontales en bucal, mesial, distal y palatino. Observandose
la profundidad y registramos el sangrado si lo hubiere. La destrucción del
periodonto es generalmente irregular y es necesario mover la punta de la sonda en varias direcciones para encontrar el sitio más profundo
en cada superficie. |
Note la
inflamación gingival y la presencia de placa supragingival en los
dientes. En bucal del segundo molar hay una bolsa profunda al
sondaje y placa supra y subgingival al movimiento lateral de la sonda. |
|
 |
 |
 |
| Debajo de la
gingiva del incisivo hay cálculo subgingival observado cuando penetra
la sonda e inflamación del tejido. La gingiva también sangra fácilmente al sondear
la bolsa periodontal. |
En lingual de la mandíbula izquierda las señales de inflamación
gingival son muy prominentes. El tejido está hinchado, rojo, brillante y sangra muy fácilmente al sondear
los surcos gingivales. (Bolsas periodontales) |
En lingual de la mandíbula
derecha se encuentran los mismos signos que en la izquierda |
|
 |
 |
 |
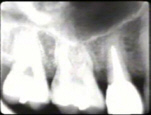
La Radiografía del lado
derecho muestra pérdida moderada del hueso periodontal con una tendencia
de bolsas infraóseas en los primeros premolares superiores.
|
La radiografía del
lado izquierdo revela pérdida moderada de hueso periodontal.
|
La radiografía periapical muestra al cuadrante superior derecho,
en particular
al premolar, una bolsa infraósea en mesial y distal |
|
 |
 |
 |
| Para que el paciente vea la placa
dental que es la la causa de la inflamación gingival y la enfermedad
periodontal; los dientes deben ser manchados con solución reveladora de
placa bacteriana. |
El paciente debe cepillarse
los dientes y nosotros debemos corregir su técnica de cepillado, para
eliminar la totalidad de la placa dental. El cepillo debe ubicrse
paralelo al margen gingival con una angulación de 45º con
respecto al eje del diente y hacer un movimiento corto y suave de mesial
a distal. Es importante usar un cepillo dental suave. |
Para limpiar los dientes de la
placa y cálculo puede usar un dispositivo de limpieza ultrasónico que se
mueve encima de la superficie de la raíz con una presión ligera. Es
necesario abundante irrigación acuosa, y solo hace falta algunos
minutos para limpiar cada diente. |
|
 |
 |
 |
| Es importante mover
constantemente la punta del instrumento para reducir el daño a la superficie del diente y tejidos. |
En las áreas de difícil
acceso se utiliza instrumental manual para eliminar el cálculo
subgingival así como el cemento infectado y la acumulación de
bacterias. Los instrumentos de mano también proporcionan
sensación táctil comparado con el dispositivo ultrasónico.
El efecto de los dos tipos de instrumentos
en el resultado clínico es el mismo. |
Dos semanas después del
tratamiento la gingiva tiene una apariencia pálida saludable. El paciente ha practicado los procedimientos
eficaces de higiene oral desde el tratamiento. |
|
 |
 |
 |
| Aquí puede verse la
permanencia de cálculo al separar con aire el tejido gingival. Este cálculo está
muy alejado para ser eliminado por un instrumento ultrasónico o un instrumento de
mano. Los estudios han mostrado que es prácticamente imposible quitar todo el cálculo
subgingival. A pesar de esto en la mayoría de los casos los tejidos sanan
satisfactoriamente con un tratamiento subgingival cuidadoso. |
En esta región de
la mandíbula también hay cálculo remanente. El principal criterio
es encontrar placa y cálculo remanente cuando hay signos de patología
gingival. Deben retirarse de esos sitios. |
Aquí la condición
gingival en lingual es saludable después de un par de semanas del
tratamiento. |
|
 |
 |
 |
| El lado derecho presenta
la misma condición gingival que el izquierdo. |
Después de 2 meses del
tratamiento la gingiva es saludable y las profundidades de los
surcos (bolsas) periodontales están reducidas. No se observa
sangrado al sondaje. |
Después de 2 meses del
tratamiento la gingiva es saludable y las profundidades de los
surcos (Bolsas) periodontales están reducidas. No se observa
sangrado al sondaje. |
|
 |
 |
|
| Fotografía anterior al
tratamiento, que sirve como comparación. Hay abundante placa y bolsas
periodontales profundas. |
El paciente debe ser citado en
forma regular cada 4 o 6 meses para realizar el tratamiento de soporte
(Limpieza suprgingival con cepillado mecánico de las superficies
dentales o por medio de ultrasonido) y evaluación y corrección si es
necesario de la higien dental que lleva a cabo en el hogar. |
|