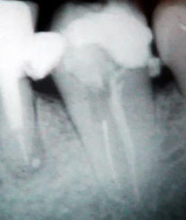
una excelente visión del cabo fracturado
por medio del microscopio dental.
Con una punta de utrasonido para
endodoncia se realiza una guía alrededor del instrumento
fracturado, usando alternativamente lavajes de
Hipoclorito, solución salina y EDTA
Con punta de ultrasonido se elimina el
cabo fracturado.