Salud Dental Para Todos

 
 

Apertura de acceso y morfología dentaria en molares

E-mail: Od. Marcelo Alberto Iruretagoyena

                                                                                             Molares superiores

Un tratamiento de endodoncia presenta algunos problemas específicos como la necesidad de localizar los orificios de entrada de los conductos, estos suelen ser muy pequeños y a demás de que el campo suele ser oscuro, debido a la dificultad para iluminar la cavidad de acceso.
1º Molar Superior

La flecha amarilla indica un posible cuarto conducto. Debe abrir hacia mesial  para eliminar la pared marcada en un circulo celeste, a la misma profundidad que el conducto mesio-vestibular.  Ver imagen derecha.

Entradas de los conductos que más frecuentemente se hallan en los primeros molares superiores(1,2,23,27):

Como método para ubicar los orificios de entrada de los conductos solemos utilizar la transiluminación dentaria.

El conducto y el orificio es esencialmente un agujero en la raíz, la transmisión de luz  muestra al orificio de entrada del conducto como una mancha oscura en un fondo brillante. Ver imagen izquierda superior, la siguiente imagen es el resultado de utilizar una cámara intraoral, con 10 aumentos (X10)

En la imagen derecha se observa el dispositivo de transiluminación dentaria
 En fecha reciente se ha incorporado a la clínica la utilización del microscopio operatorio (MO)

El poder de magnificación del MO con visión indirecta y luz coaxial permite localizar las entradas de los conductos calcificados. Incluso los más pequeños y difíciles de ver como el conducto mesio-palatino (Ver flecha amarilla imagen superior izquierda)

2º Molar superior

Entradas de los conductos que más frecuentemente se hallan en segundos molares superiores (1,2,23,27):

Usualmente las raíces se encuentran fusionadas y sus conductos son casi paralelos entre sí, lo que determina superposición de los conductos en las películas radiográficas

Molares Superiores 

Número de conductos

 %

3 30
4 70
3 50
4 50

Observe en la imagen superior la dentina secundaria de color blanca que obstruye la entrada de los conductos. Imagen X10 cámara intraoral.

Pieza dental 17 en apariencia tres conducto.

Molares inferiores

1º molar inferior (1,2,23,27)

  • En azul conducto mesio-vetibular

  • En verde conducto mesio-lingual

  • En rojo conducto distal

  • En amarillo un cuarto conducto,  si el conducto distal se encuentra desplazado hacia lingual, existe una alta posibilidad de encontrar un cuarto conducto

 Tres conductos en piso de cámara pulpar, el conducto distal se encuentra ensanchado en sentido buco-lingual, debe sospechar la existencia de dos conductos que comparten el orificio de entrada. Cámara intraoral X10 aumentos.

Molares inferiores 

Número de conductos

 %

3 30
4 70
3 50
4 50
2º molar inferior (1,2,23,27)

Similar al primer molar inferior pero menos voluminoso, en la raíz mesial siempre encontrará dos conductos y en la raíz distal puede encontrar uno ó dos conductos.

  • En azul conducto mesiovetibular

  • En verde conducto mesiolingual

  • En rojo conducto distal

  • En amarillo un cuarto conducto,  si el conducto distal se encuentra desplazado hacia lingual, existe una alta posibilidad de encontrar un cuarto conducto

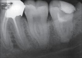
Rx de molares inferiores mostrando la disposición de las raíces y sus conductos.

 
1º Molar inferior: El orificio de entrada del conducto distal se encuentra ensanchado en sentido buco lingual, debe sospechar la existencia de un cuarto conducto.

La localización  de un cuarto conducto se lleva a cabo con la técnica radiológica de Clark o por medio de una lima curvada en distal para sondear la pared lingual ó vestibular del conducto distal. Imagen inferior

DS: dentina secundaria de color más claro. Cámara intraoral X10 aumentos.

Siguiente página

Bibliografíia